티스토리 뷰
치아가 튼튼한 건 정말 큰 복입니다. 오복 중 하나이기도 하고요. 임플란트 하기 전에 꼭 알아야 할 중요 고려사항에 어떤 것들이 있는지 체크해보세요. 수술 후 회복기간은 얼마나 걸리는지, 반드시 지켜야 할 관리방법에 대해서도 살펴보시기 바랍니다.
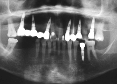
<임플란트 중요 고려사항 및 수술 후 회복기간, 관리방법>

치아 건강은 관리도 중요하지만, 역시나 유전자의 힘은 어찌할 수가 없습니다. 너무나도 건강한 우리집 아버지도 이빨만큼은 지키지 못해 한 번에 10여개의 치아를 임플란트 해야 했는데, 상당히 힘든 과정을 거쳤습니다. 저 역시도 핏줄을 속일 수 없기에 현재까지는 하나만 했지만, 머지않아 여러 개를 해야할 것 같네요. ㅠㅠ
임플란트 시술 시 중요 고려사항
1) 시술 경험과 치과 선택 : 임플란트는 고난이도 시술이므로 경험이 많은 치과를 선택하는 것이 중요합니다. 3D CT 촬영, 디지털 가이드 시스템 등 첨단 장비를 갖춘 곳이 유리합니다.
2) 사용되는 임플란트의 브랜드 및 품질 : 국내 브랜드(오스템, 덴티움)와 해외 브랜드(스트라우만, 노벨바이오케어 등) 중 선택할 수 있습니다. 브랜드마다 가격과 내구성이 다르므로 치과에서 어떤 제품을 사용하는지 확인해야 합니다.
3) 비용과 추가 치료 여부 : 임플란트 1개당 평균 비용은 120만 원~300만 원 정도이며, 추가 뼈 이식이 필요한 경우 비용이 증가합니다. 사전 상담 시 전체 비용(크라운 포함) 을 정확히 확인하는 것이 좋습니다.
4) 잇몸뼈 상태와 건강 상태 : 잇몸뼈가 부족하면 뼈 이식이 필요하며, 당뇨병·골다공증 환자는 치료가 제한될 수 있습니다. 수술 전 기본 건강 상태를 체크해야 하며, 흡연자는 회복 속도가 느릴 수 있습니다.
5) 사후 관리 및 보증 기간 : 임플란트는 10~20년 이상 유지할 수 있지만, 정기적인 관리가 필수입니다. 일부 치과에서는 평생 보증 서비스를 제공하므로 보증 기간을 꼭 확인하세요.

임플란트 시술 후 회복 기간
- 임플란트 시술 후 완전히 정착되기까지 보통 3~6개월이 소요됩니다.
- 1~2주: 잇몸이 아물고 실밥을 제거하는 시기
- 3~6개월: 임플란트가 턱뼈와 완전히 유착됨
- 6개월 후: 보철물(크라운) 장착 후 정상적인 사용 가능
- 환자의 상태에 따라 기간이 달라질 수 있으며, 골이식이 필요한 경우 더 오래 걸릴 수 있습니다.
임플란트 수술 후 주의사항
- 출혈 및 부기 관리 : 수술 후 24시간 동안 얼음찜질을 하면 부기를 줄일 수 있습니다. 거즈를 2~3시간 꽉 물고 있어야 하며, 침을 뱉거나 빨아들이지 마세요.
- 음식 섭취 : 첫 24시간 동안 부드러운 음식(죽, 스프)을 섭취하세요. 뜨거운 음식과 자극적인 음식(매운 음식, 탄산음료)은 피해야 합니다. 2주간 단단한 음식(견과류, 오징어 등)은 피하는 것이 좋습니다.
- 구강 위생 관리 : 첫날은 칫솔질을 하지 말고, 이틀째부터 부드러운 칫솔로 양치하세요. 소독용 가글(클로르헥시딘)로 가볍게 헹구세요.
- 운동 및 생활 습관 : 격렬한 운동은 최소 1주일간 금지하세요. 흡연과 음주는 최소 2주간 금지, 가능하면 3개월 동안 피하는 것이 좋습니다. 잘 때는 머리를 약간 높여서 출혈과 부기를 예방하세요.

정기적인 검진 필요성
임플란트가 자리 잡은 후에도 6개월~1년에 한 번씩 정기 검진을 받아야 합니다. 임플란트 주위염을 예방하려면 치과에서 전문적인 스케일링과 유지 관리를 받아야 합니다. 임플란트 시술 후 관리가 제대로 이루어지지 않으면 실패 확률이 높아질 수 있으므로 주의사항을 철저히 지키는 것이 중요합니다.
치과에 간다는 것은 큰 용기를 필요로 합니다. 예전에 잇몸 수술할 때 너무 힘들었는데, 한 번은 중간에 마취가 풀려 죽을 힘을 다해 참아야만 했습니다. 그당시 입안 전체가 헐어서 한동안 밥도 제대로 못 먹었던 기억이 아직도 생생합니다. 어쨌든 내 이빨을 갈아 끼워야 하는 임플란트를 할 때는 준비도 충분히 해야 하고, 수술 후에 관리도 잘 해야 합니다. 누구나 꼭 알아야 할 내용이기도 합니다.
치아브릿지 수명, 치료 사례 - peterjun's life
살아 있는 이빨을 기둥으로 삼아 그 사이에 이빨이 빠진 곳에 인공 이빨을 넣어 고정시키는 것을 치아브릿지라고 합니다. 어떨 때 이런 치료를 하게 되는지, 임플란트와 차이점은 무엇인지, 수
peterjuninfo.com
틀니 가격 (노인, 젊은사람), 건강보험 적용 기준 - peterjun's life
치아가 건강하지 못하면 구강건강 전체가 위협을 받게 됩니다. 임플란트보다 저렴해서 인기 많은 틀니 가격을 알아보세요. 젊은사람, 노인 기준으로 다르며, 틀니종류, 건강보험 적용 기준에 대
peterjuninfo.com
이빨 씌우는 가격 종류별 정리
어느 병원인들 가기 부담스러운 건 사실이지만, 매번 최소한 입을 벌리고 보여줘야 하는 치과에는 정말 가기 싫습니다. 하지만, 어쩔 수 없이 누구나 신세를 져야 하는 곳이기도 하지요. 이빨 씌
info.peterjuninfo.com
'생활정보' 카테고리의 다른 글
| 국민연금 EDI서비스란? 제공 서비스 종류 (0) | 2025.02.15 |
|---|---|
| 국민연금 완납증명서 인터넷발급 받는 방법, 비용, 출력 (0) | 2025.02.14 |
| 메리츠 실비보험 청구방법, 고객센터 이용 안내 (0) | 2025.02.13 |
| 국민연금공단 포천지사 전화번호 및 주소, 운영시간 (0) | 2025.02.12 |
| 금융사기 사례, 피해 예방 및 신고방법 (0) | 2025.01.30 |
- 영아수당
- 쏘팔메토
- 3차 재난지원금 일정
- 부스터샷예약
- 3차재난지원금
- 청년도약계좌
- 문화누리카드 사용처
- 상생소비지원금
- 3차 재난지원금
- 소상공인손실보상금
- 비아노스
- 소상공인지원정책
- 4차 재난지원금 일정
- 실업급여
- 소상공인방역지원금
- 5차재난지원금
- 4차 재난지원금
- 2021근로장려금지급액
- 부스터샷
- 한시생계지원금
- 상병수당
- 소상공인지원금
- 코로나 3차지원금
- 소상공인 정책자금 지원
- 유아수당
- 상생소비지원금사용처
- 문화누리카드
- 행복주택
- 2021근로장려금
- 연말정산
| 일 | 월 | 화 | 수 | 목 | 금 | 토 |
|---|---|---|---|---|---|---|
| 1 | 2 | 3 | 4 | |||
| 5 | 6 | 7 | 8 | 9 | 10 | 11 |
| 12 | 13 | 14 | 15 | 16 | 17 | 18 |
| 19 | 20 | 21 | 22 | 23 | 24 | 25 |
| 26 | 27 | 28 | 29 | 30 |